Miranda

Bondi Junction

Hurstville

November 2025 - 1

An 84 year old female was referred in with decreased left vision LVA 6/18 pH 6/15.

September 2025 - 1

60 yo female patient presented noticing left ptosis for the last 2 weeks.

August 2025 - 2

A 30 year old male was referred for a second opinion to discuss his suitability for laser surgery.

August 2025 - 1

A 38-year-old male has been referred to you for follow up, 6 months after blunt trauma to his left eye.

June 2025 - 1

A 45 year old man with a lesion affecting the medial bulbar conjunctiva and a 64 year old man with a slowly enlarging lesion affecting the right caruncle.

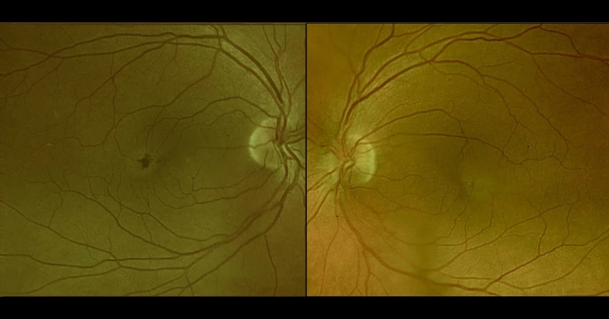
June 2025 - 1

A 62-year-old woman presented with a 5-day history of painless right visual loss.

Stacks Image 424
Stacks Image 428
Stacks Image 433
Stacks Image 436
Stacks Image 440

MIRANDA

Level 1
629 Kingsway
Miranda NSW 2228

  02 9525 5190

Fax: 02 9525 0202

  Directions and parking

BONDI JUNCTION

Park Place
Suite 601, Level 6
3 Waverley Street
Bondi Junction NSW 2022

  02 9387 4427

Fax: 02 9388 0139

  Directions and parking

HURSTVILLE

Suite 12, Level 2
33 MacMahon Street
Hurstville NSW 2220

  02 9579 4004

Fax: 02 9570 1377

  Directions and parking

HOURS

Monday to Friday
8:30am until 5:00pm

FOR PATIENTS

FOR REFERRERS


© 2017- SYDNEY EYE SURGEONS

Website by: WebInjection