Miranda

Bondi Junction

Hurstville

May 2025 - 2

A 60-year-old caucasian male was referred with complaints of a gradual reduction in visual acuity over the last 12 months.

May 2025 - 1

A 36-year-old Thai woman presented to Sydney Eye Hospital with a six-month history of blurred vision.

April 2025 - 1

A 65-year-old male presents to your office with a painless, chronically red left eye.

March 2025 - 1

An 84yr old lady was being treated for subretinal new vessel in the right eye. An incidental finding was noticed in the asymptomatic left eye on fundal examination.

February 2025 - 2

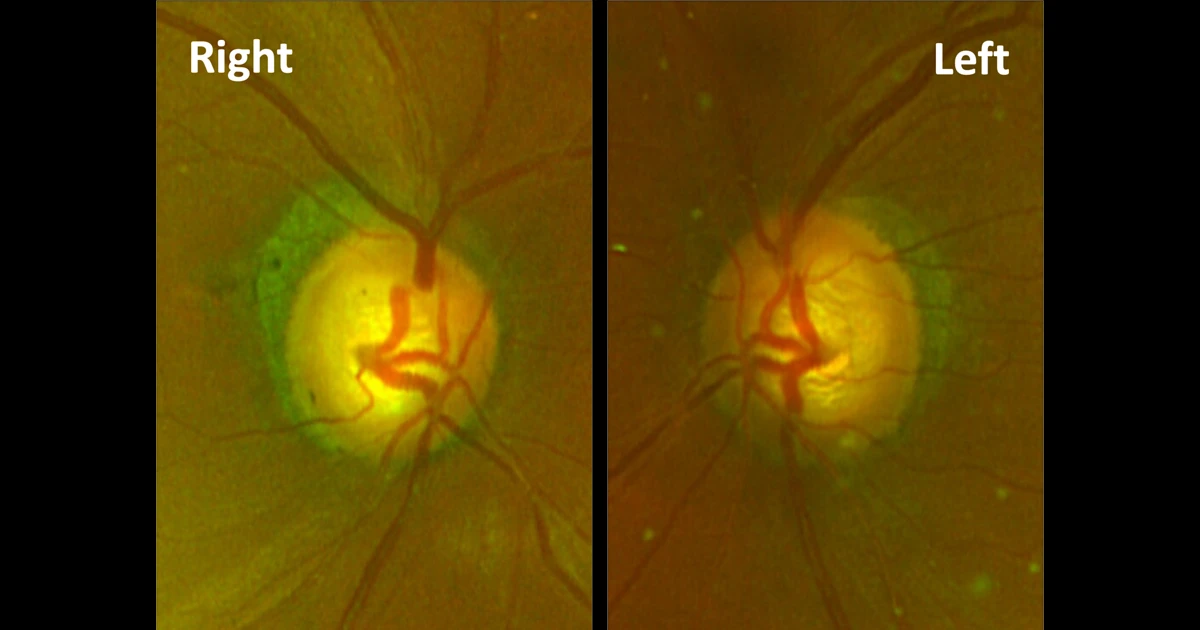
A 65-year-old male, previously been diagnosed with primary open angle glaucoma and was started on latanoprost drops for both eyes.

February 2025 - 1

A 31-year-old male presented to our clinic after sudden loss of vision OS.

Stacks Image 424
Stacks Image 428
Stacks Image 433
Stacks Image 436
Stacks Image 440

MIRANDA

Level 1
629 Kingsway
Miranda NSW 2228

  02 9525 5190

Fax: 02 9525 0202

  Directions and parking

BONDI JUNCTION

Park Place
Suite 606b, Level 6
3 Waverley Street
Bondi Junction NSW 2022

  02 9387 4427

Fax: 02 9388 0139

  Directions and parking

HURSTVILLE

Suite 12, Level 2
33 MacMahon Street
Hurstville NSW 2220

  02 9579 4004

Fax: 02 9570 1377

  Directions and parking

HOURS

Monday to Friday
8:30am until 5:00pm

FOR PATIENTS

FOR REFERRERS


© 2017- SYDNEY EYE SURGEONS

Website by: WebInjection